Здоровье
В День защиты детей священнослужители посетили маленьких пациентов Чистопольской ЦРБ
По доброй традиции священнослужители поздравляют с этим праздником маленьких пациентов, которые находятся на лечении в педиатрическом отделении Чистопольской ЦРБ.
Врачам РКБ 16 раз пришлось реанимировать 49-летнего казанца с инфарктом
Как сообщили в медучреждении, 16 раз врачам пришлось реанимировать 49-летнего казанца с инфарктом в РКБ.

В Татарстане у мужчины 16 раз остановилось сердце
Врачи Республиканской клинической больницы (РКБ) Татарстана спасли мужчину с инфарктом, у которого 16 раз останавливалось сердце.
Как может навредить неправильный загар?
Меланома, базалиома и фотостарение… Как может навредить неправильный загар?

Советы нурлатцам: как выбрать летний лагерь для ребенка
Нурлатский филиал ФБУЗ «Центр гигиены и эпидемиологии в Республике Татарстан (Татарстан)» рассказывает родителям на что надо обратить внимание при выборе детского летнего лагеря.
В Агрызе продолжается частичный капремонт ЦРБ
Специалисты Отдела строительства проверили ход выполнения работ в центральной районной больнице.
В Бугульме заболеваемость ОРВИ выросла на 25%
Выявлены 3 случая внебольничной пневмонии, 3 случая новой коронавирусной инфекции.
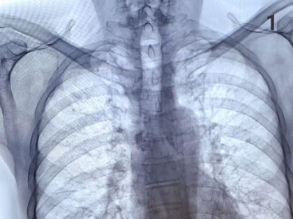
Врач-рентгенолог из Челнов сравнил снимки легких курящего и некурящего человека
Врач-рентгенолог поликлиники №5 Челнов Рамзиль Гильметдинов рассказал, чем отличаются снимки рентгенографа курящего и некурящего человека.
Уличная акция «Нет табачному дыму» прошла в Лаишево
31 мая – ежегодно проводится Всемирный день без табака (Всемирный День борьбы против курения) - международная акция по борьбе с курением.

Птичий грипп и миллиард долгов: Иван Егоров попробует «Индюжину» братьев Мадьяровых
«Ак Барс Холдинг» взял на себя оперативное управление ООО «Агрофирма Залесный».